Services

Home / Services

Our Services

You are always at the centre of any dental treatment with plenty of time taken at every appointment You will always be seen by the same dentist in a caring and relaxed environment.

Keep my teeth healthy

Our dentists and hygienists will work together with you to help you maintain a healthy smile for life.

Restore my broken teeth (Crowns/Fillings)

Tooth fillings and dental crowns are common methods of helping with the wear and tear of teeth over time.

Replace my missing teeth

Dental Implants are the most advanced therapy available to replace missing or broken teeth. Other options include dentures and bridges.

Whiten my teeth

Teeth-whitening is a very effective way of lightening the colour of your teeth without removing any of the tooth surface.

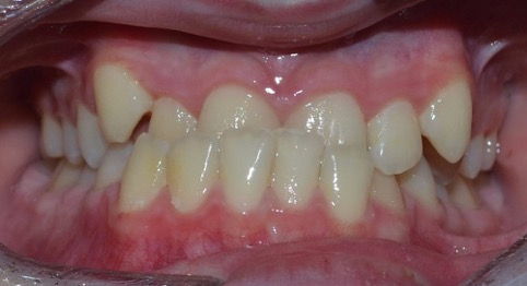
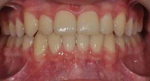
Straighten my teeth Invisible braces

Improve the appearance and alignment of crooked, protruding or crowded teeth with invisible braces (white braces, Invisalign™, Lingual braces)

Improve my smile Cosmetic dentistry

Treatments can straighten, lighten, reshape and repair teeth. Cosmetic treatments include teeth whitening, veneers, crowns, bridges, tooth-coloured fillings and dental implants.

Before / After Images

Before After
Before After

Our Team

Quality and Prevention is at the front

Dr Milisha Chotai

Principal dentist

Dr Stefan Abela

Orthodontics

Dr Sonam Haria

Oral Sugery

Dr Faisal Moughal

Root therapy

Dr Milisha Chotai

Principal dentist

Dr Faisal Moughal

Root therapy

Scroll to Top